Toggle navigation
Home
About Us
TREATMENTS
TESTIMONIALS
Our Success
Contact Us
Our Success
Need a Doctor for Check-up? Just make an appointment
Book Now
×
Implant Case
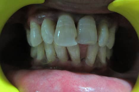
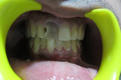
Non Vital Tooth Bleaching
Post n Core
Vital Teeth Bleaching
Xray
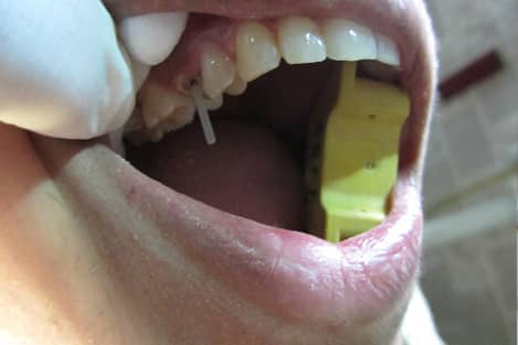
Dental Dam Isolation
×